当院は、まぶた、眼窩、涙道に特化した眼形成手術の専門施設です。豊富な経験と専門的な知識をもとに、一人ひとりのお悩みに寄り添い、最適な治療をご提案いたします。
他院で修正することが難しいと判断された方でも、今まで来院されたほとんどの方が治療が可能ですので、まずは一度ご相談いただけたらと思います。
出目(眼球突出)の方々を対象に
目の奥の脂肪を切除する眼窩減圧術は、
バセドウ病ではない生まれつきの
出目(眼球突出)に対しても
行うことが出来ます。
目次
当院は、まぶた、眼窩、涙道に特化した眼形成手術の専門施設です。豊富な経験と専門的な知識をもとに、一人ひとりのお悩みに寄り添い、最適な治療をご提案いたします。
他院で修正することが難しいと判断された方でも、今まで来院されたほとんどの方が治療が可能ですので、まずは一度ご相談いただけたらと思います。
当グループが開発した「美的深部眼窩脂肪減圧術(Aesthetic Deep Orbital Fat Decompression)」に関する臨床研究が、国際医学誌 Plastic and Reconstructive Surgery – Global Open(PRS Global Open)に掲載されました。
本研究では、非甲状腺性眼球突出症に対する新しい低侵襲手術の安全性と有効性が示されており、今後の眼形成外科の発展に貢献する内容となっています。
論文全文はこちら| 主訴 | 先天性眼球突出 |
|---|---|
| 治療費 | 鹿嶋先生:1,980,000円 山名先生・菊地先生・ 小滝先生:880,000円 上記以外※術者指名 不可(モニター必須) :440,000円 目のクマへの脂肪移植 |
| 治療内容 | 眼窩減圧術 |
| 治療のリスク | 出血、腫脹、複視の出現または悪化、視力障害、過矯正、低矯正 |
眼窩減圧術はバセドウ病ではない生まれつきの眼球突出に対しても行うことが出来ます。
生まれつき目が飛び出ているように見える眼球突出がある方は、目が出ているのではなく目の周りの骨の発育が良くなかったために、目が出ているように見えているだけである可能性が高いです。
バセドウ病の検査を行っても異常ではなかった場合に生まれつきの眼球突出という診断になります。
当院ではバセドウ病の眼球突出の方々を対象に目の奥の脂肪を切除する眼窩減圧術という手術を行っていますが、その技術を応用し生まれつきの眼球突出(出目)の方々への手術も行っています。
ただし生まれつきの眼球突出に健康保険を使うことは出来ませんので全額自費になってしまいますが、目が大きすぎる方は目を小さく控えめに変えるとチャーミングな目にすることが出来る可能性が高いです。
また、白目の面積が小さくなるため、三白眼の改善も見込めます。
| 両眼/片眼 | |
| 眼窩(がんか)脂肪減圧術 | 鹿嶋先生:1,980,000円 山名先生・菊地先生・ 小滝先生・西住先生・末武先生:880,000円 上記以外※術者指名 不可(モニター必須) :440,000円 目のクマへの脂肪移植 |
*1ホームページなどで写真が公開されます。
必ず術後の通院が必要です。




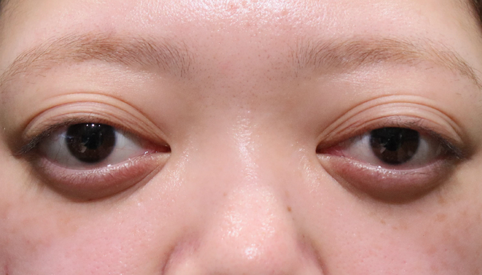
眼が大きく、目立ちすぎている印象があります。白目の面積が大きく、三白眼のようにも見えています。また目がすこし離れているようにも見えます。
術翌日の写真です。目が窪み、白目の面積が減っているのが分かります。両目の距離も近づき、バランスが良くなりました。下まぶたが黒いのは内出血です。
分かりやすいように写真を拡大しました。白目の面積が大きく、角膜と下まぶたの間にも白目がある状態です(三白眼)。
術翌日の写真です。上のまぶたが窪み、白目の面積が減っているのが分かります。下まぶたと角膜の間の白目は無くって、三白眼が解消しています。下まぶたが黒いのは内出血です。
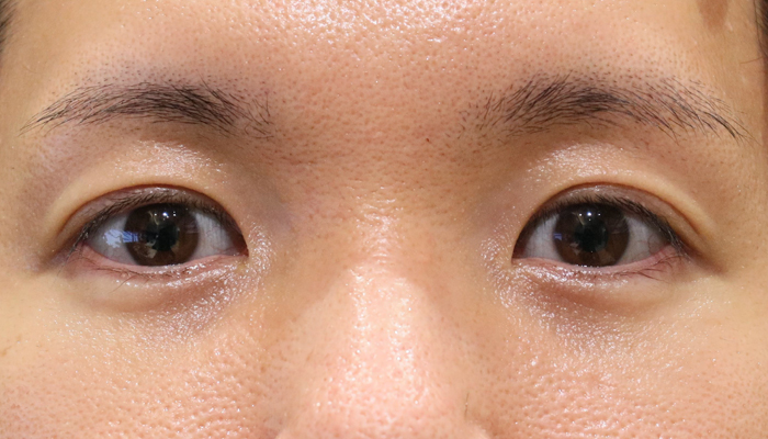
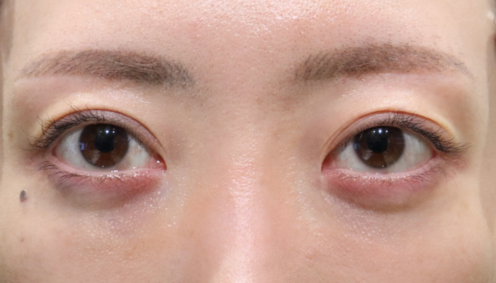
目が非常に大きいのが目立ちます。目の小さい人にとってはうらやましいくらいだと思いますが、大きすぎるのも悩みの種になるのです。
術翌日の写真では白目の面積が減り、目が大きいという印象は無くなりました。穏やかな印象に変化しています。
眉毛の位置と眼球の位置はほぼ同じ高さです。
術翌日です。眼球がへこむことで上のまぶたがへこみ、その結果白目の面積が小さくなりました。
| 主訴 | 生まれつきの眼球突出 |
|---|---|
| 治療費 | 鹿嶋先生:1,980,000円 山名先生・菊地先生・ 小滝先生:880,000円 上記以外※術者指名 不可(モニター必須) :440,000円 目のクマへの脂肪移植 |
| 治療内容 | 眼窩減圧術 |
| 治療のリスク | 出血、腫脹、複視の出現または悪化、視力障害、過矯正、低矯正 |
術前の写真をご注目ください。
二重瞼の綺麗な目だが、白目の露出が多く、上のまぶたがやや腫れぼったい印象でこれらの改善を希望されて来院されました。
次に、術後1ヶ月の写真をご覧ください。
まだ下まぶたや白目に出血の痕が残っています。
出血が消えるのに通常3-4週間かかります。目が凹むことで目が優しい印象になっているのがわかります


| 術前 | 上のまぶたの膨らみがあり、すこしぽっちゃりとした印象があります。 白目の面積も大きいです。 |
|---|---|
| 術後 | 下のまぶたからの眼球の後ろの脂肪切除2週間です。 白目の出血と下まぶたの出血が残っています。白目の面積が少なくなっています。 また目が凹んだことで、上のまぶたと下のまぶたが両方とも目にかぶさるようになって、 茶目の露出が少なくなっています。 |


| 術前 | 二重瞼の綺麗な目だが、白目の露出が多く、上のまぶたがやや腫れたような形状となっています。 |
|---|---|
| 術後 | 白目の面積を比較すると、術後には白目の面積が少なくなっています。 目が少し小さくなったため、綺麗な目つきになっています。上のまぶたもスッキリしています。 |
斜めからの写真で、左上まぶたを比較すると、腫れぼったさが消え、眉毛よりも突出していた上まぶたが、術後には眉毛よりも凹んだことが分かります。
このように、生まれつき目が大きくて(出目)、それを修正することも当院では行っております。
同様のことでお困りの方がいらっしゃたら是非一度ご相談ください。
| 両眼/片眼 | |
| 治療費 | 鹿嶋先生:1,980,000円 山名先生・菊地先生・ 小滝先生:880,000円 上記以外※術者指名 不可(モニター必須) :440,000円 目のクマへの脂肪移植 |
*1ホームページなどで写真が公開されます。
必ず術後の通院が必要です。
| 合併症のリスク | 出血、感染、複視、視野障害、視力障害、全身麻酔 |
|---|


| 術前 | 目が大きく突出し、白目の面積が広い状態。 |
|---|---|
| 術後 | 目は小さくなり、白目の面積も小さくなりました |


| 術前 | 目が大きく突出し、白目の面積が広い状態。 |
|---|---|
| 術後 | 目はが小さくなったため、白目の赤みも軽減しています |
| 主訴 | 目が大きく突出し、白目の面積が広い |
|---|---|
| 治療費 | 鹿嶋先生:1,980,000円 山名先生・菊地先生・ 小滝先生:880,000円 上記以外※術者指名 不可(モニター必須) :440,000円 目のクマへの脂肪移植 |
治療内容 | 眼窩減圧術 |
| 治療のリスク | 出血、腫脹、複視の出現または悪化、視力障害、過矯正、低矯正 |


| 術前 | 目が突出し、上まぶたが膨らみ、下まぶたはクマが出来ている。 |
|---|---|
| 術後 | 目は小さくなり、上まぶたの膨らみと下まぶたのクマが改善している |


| 術前 | 上まぶたが膨らみ、下まぶたはクマが出来ている |
|---|---|
| 術後 | 目は小さくなり、上まぶたの膨らみと下まぶたのクマが改善している |
| 主訴 | 目が突出し、上まぶたが膨らみ、下まぶたはクマが出来ている |
|---|---|
| 治療費 | 鹿嶋先生:1,980,000円 山名先生・菊地先生・ 小滝先生:880,000円 上記以外※術者指名 不可(モニター必須) :440,000円 目のクマへの脂肪移植 |
| 治療内容 | 眼窩減圧術 |
| 治療のリスク | 術前に複視が無い場合、手術後には眼球運動障害が出現し2重に見えます。翌日にはほとんど消失していることが多いですが、残存することもあります。 |


| 術前 | 目が突出し、上のまぶたは膨らんでいる。 |
|---|---|
| 術後 | 目は凹んで小さくなった。上のまぶたの膨らみは軽減した。 |
| 主訴 | 目が突出し、上のまぶたは膨らんでいる |
|---|---|
| 治療費 | 鹿嶋先生:1,980,000円 山名先生・菊地先生・ 小滝先生:880,000円 上記以外※術者指名 不可(モニター必須) :440,000円 目のクマへの脂肪移植 |
| 治療内容 | 眼窩減圧術 |
| 治療のリスク | 出血、腫脹、複視の出現または悪化、視力障害、過矯正、低矯正 |




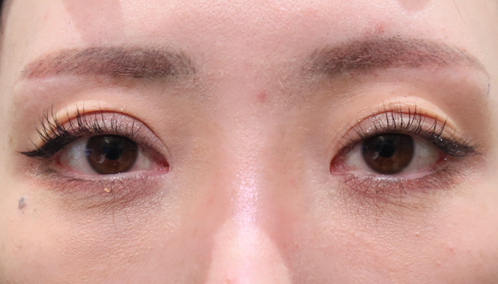
| 術前 | まぶたが腫れぼったく、目が大きくなっています。 |
|---|---|
| 術後 | 上まぶたの膨らみは消え、自然な形状になりました。 下まぶたのクマも消えています。 |
| 主訴 | まぶたが腫れぼったく、目が大きくなっている |
|---|---|
| 治療費 | 鹿嶋先生:1,980,000円 山名先生・菊地先生・ 小滝先生:880,000円 上記以外※術者指名 不可(モニター必須) :440,000円 目のクマへの脂肪移植 |
| 治療内容 | 眼窩減圧術 |
| 治療のリスク | 出血、腫脹、複視の出現または悪化、視力障害、過矯正、低矯正 |




| 術前 | まぶたが腫れぼったく、目が大きいことがわかります。 下まぶたは引き下がっていて黒目の下に白目が露出しています。 |
|---|---|
| 術後 | 上まぶたの膨らみは消え、自然な形状になりました。 目の距離も狭くなっています。 下まぶたの位置も改善し、自目の露出が少なくなっています。 |
| 主訴 | まぶたが腫れぼったく、目が大きくなっている |
|---|---|
| 治療費 | 鹿嶋先生:1,980,000円 山名先生・菊地先生・ 小滝先生:880,000円 上記以外※術者指名 不可(モニター必須) :440,000円 目のクマへの脂肪移植 |
| 治療内容 | 眼窩減圧術 |
| 治療のリスク | 出血、腫脹、複視の出現または悪化、視力障害、過矯正、低矯正 |




| 主訴 | まぶたが腫れぼったく、目が大きくなっている |
|---|---|
| 治療費 | 鹿嶋先生:1,980,000円 山名先生・菊地先生・ 小滝先生:880,000円 上記以外※術者指名 不可(モニター必須) :440,000円 目のクマへの脂肪移植 |
| 治療内容 | 眼窩減圧術 |
| 治療のリスク | 出血、腫脹、複視の出現または悪化、視力障害、過矯正、低矯正 |




| 術前 | まぶたが腫れぼったく、目が大きいことがわかります。 上まぶただけでなく、下まぶたのクマも出現しています。 目の距離も開大しているようです。 |
|---|---|
| 術後 | 上まぶたの膨らみは消え、自然な形状になりました。 下まぶたのクマも消え、目の距離も狭くなっています。 |
| 主訴 | まぶたが腫れぼったく、目が大きくなっている |
|---|---|
| 治療費 | 鹿嶋先生:1,980,000円 山名先生・菊地先生・ 小滝先生:880,000円 上記以外※術者指名 不可(モニター必須) :440,000円 目のクマへの脂肪移植 |
| 治療内容 | 眼窩減圧術 |
| 治療のリスク | 出血、腫脹、複視の出現または悪化、視力障害、過矯正、低矯正 |




| 術前 | まぶたが腫れぼったく、目が大きいことがわかります。 上まぶただけでなく、下まぶたのクマも出現しています。 目の距離も開大しているようです。 |
|---|---|
| 術後 | 上まぶたの膨らみは消え、自然な形状になりました。 下まぶたのクマも消え、目の距離も狭くなっています。 |
| 主訴 | まぶたが腫れぼったく、目が大きくなっている |
|---|---|
| 治療費 | 鹿嶋先生:1,980,000円 山名先生・菊地先生・ 小滝先生:880,000円 上記以外※術者指名 不可(モニター必須) :440,000円 目のクマへの脂肪移植 |
| 治療内容 | 眼窩減圧術 |
| 治療のリスク | 出血、腫脹、複視の出現または悪化、視力障害、過矯正、低矯正 |




| 術前 | まぷたが腫れぼったく、目が大きいことがわかります。 上まぶただけでなく、下まぷたのクマも出現しています。 目の距離も開大しています。 |
|---|---|
| 術後 | 上まぶたの膨らみは消え、自然な形状になりました。 膨らみがなくなったため、小じわが出現しています。 下まぶたのクマも消え、目の距離も狭くなっています。 |
| 主訴 | まぶたが腫れぼったく、目が大きくなっている |
|---|---|
| 治療費 | 鹿嶋先生:1,980,000円 山名先生・菊地先生・ 小滝先生:880,000円 上記以外※術者指名 不可(モニター必須) :440,000円 目のクマへの脂肪移植 |
| 治療内容 | 眼窩減圧術 |
| 治療のリスク | 出血、腫脹、複視の出現または悪化、視力障害、過矯正、低矯正 |




| 術前 | まぶたが腫れぼったく、特に左目が大きく見開いてしまっています。 目の距離も拡大しているようです。 |
|---|---|
| 術後 | 上まぶたの膨らみは消え、自然な形状になりました。見開きも改善しています。 下まぶたのクマも消えています。 |
| 主訴 | まぶたが腫れぼったく、目が大きくなっている |
|---|---|
| 治療費 | 鹿嶋先生:1,980,000円 山名先生・菊地先生・ 小滝先生:880,000円 上記以外※術者指名 不可(モニター必須) :440,000円 目のクマへの脂肪移植 |
| 治療内容 | 眼窩減圧術 |
| 治療のリスク | 出血、腫脹、複視の出現または悪化、視力障害、過矯正、低矯正 |




| 主訴 | まぶたが腫れぼったく、目が大きくなっている |
|---|---|
| 治療費 | 鹿嶋先生:1,980,000円 山名先生・菊地先生・ 小滝先生:880,000円 上記以外※術者指名 不可(モニター必須) :440,000円 目のクマへの脂肪移植 |
| 治療内容 | 眼窩減圧術 |
| 治療のリスク | 出血、腫脹、複視の出現または悪化、視力障害、過矯正、低矯正 |




| 術前 | 上下の瞼が腫れて目が突出し両目が離れてしまっています。 |
|---|---|
| 術後 | 右は7.0cc、左は7.2ccの減圧を行い目の位置が下がり、上下の瞼の腫れも改善しています。 目の距離も狭くなりました。 |




| 術前 | 上瞼が腫れ、左の方が特に眼球が突出しています。 |
|---|---|
| 術後 | 右は1.2cc、左は2.4ccの減圧を行い、術前に認めた左右差がほぼなくなりました。 脂肪移植も行い、クマも改善しています。 |




| 術前 | 瞼が腫れぼったく、目の距離も離れています。 |
|---|---|
| 術後 | 上瞼の膨らみが改善され窪みができました。 目の距離も近づき自然な仕上がりとなっています。 |




| 術前 | 瞼の膨らみが強く出ています。 それにより下瞼のクマも出ています。 |
|---|---|
| 術後 | 膨らみも改善されクマも消失しています。 スッキリとした表情になりました。 |




| 術前 | 眼球突出と目の距離が離れていることの改善目的で受診されました。 |
|---|---|
| 術後 | 上瞼の膨らみが改善され、凹んだことにより影が出ています。 目の距離も近づき、露出している白目の面積も小さくなっています。 |




| 術前 | 上まぶたのわずかな腫れぼったさを認めます。 斜めから見ると上まぶたに丸みを認めます。 |
|---|---|
| 術後 | 両目とも2cc前後の減圧をおこなっています。 目の突出が改善したことで、白目の見える範囲がやや減り、斜めから見たときの上まぶたもすっきりとしました。 |




| 術前 | 上まぶたのふくらみ、腫れ感があります。 斜めから見るとより分かりやすいです。 |
|---|---|
| 術後 | 両目とも3cc程度の減圧を行いました。上まぶたがすっきりとし、斜めから見ると眉下から上まぶたのラインも綺麗な凹凸を描いています。 下まぶたの高さも少しあがり、優しい目元になりました。 |




| 術前 | 上まぶたに少し影はありますが、できる限り凹ませたいとのご希望があり手術の運びとなりました。 |
|---|---|
| 術後 | 眉毛より下から上まぶたの部分にしっかりと影ができ、眼球の位置が下がっているのが分かります。 頬の部分に脂肪移植をしたので、頬の位置が少しあがり、下まぶたが窪みすぎることなく横からみても綺麗なラインになっています。 |
| 両眼/片眼 | |
| 眼窩(がんか)脂肪減圧術 | 鹿嶋先生:1,980,000円 山名先生・菊地先生・ 小滝先生・西住先生・末武先生:880,000円 上記以外※術者指名 不可(モニター必須) :440,000円 目のクマへの脂肪移植 |
*1ホームページなどで写真が公開されます。
必ず術後の通院が必要です。
上記の金額はすべて税込表示です。
オペ実施の場合、手術代金から自費診察料を差し引きます。
この説明書は、生まれつき眼球突出への眼窩減圧の手術について説明したものです。
わからないことがありましたら、担当医にお尋ねください。
治療を受けられる場合は、下記に「同意書PDF」を用意しておりますので、
一度目を通していただき署名をお願いいたします。
患者さんへのご挨拶
これまで10年以上にわたり日米通算1万件以上の手術を行って参りました。 今までに私が培ってきた専門的な知識や経験を日本でお困りの患者さんの為に提供していきたいと思っています。
| 2002年 | 群馬大医学部卒 群馬大学 眼科学教室 |
|---|---|
| 2004年 | 伊勢崎市民病院 |
| 2005年 | 群馬大眼科 |
| 2007年-09年 | 聖隷浜松病院 眼形成眼窩外科へ国内留学 |
| 2009年 | 群馬大にて眼形成外来を開設 |
| 2012年 | 学位取得 群馬大学眼科 助教 |
| 2010年-18年 | アジア太平洋眼形成学会理事 |
| 2015年-16年 | カリフォルニア大学 ロサンゼルス校へ留学 |
| 2017年 | 新前橋かしま眼科形成外科 クリニック 開院 |
| 2018年 | オキュロフェイシャルクリニック 東京 開院 |
| 2019年 | The NewYork Times特別企画「Next Era Leaders 2019」選出 |
| 2020年 | アメリカ眼形成学会(ASOPRS)会員 |
| 2009年 | Singapore National Eye Center |
|---|---|
| 2010年 | アジア太平洋眼形成外科学会 北京 Invited Speaker |
| 2011年 | ヨーロッパ眼形成学会 コモ(イタリア) |
| 2012年 |
世界眼科会議 アブダビ Invited Speaker Asia ARVO シンガポール Invited Speaker APAO 釜山 Invited Speaker アメリカ眼科学会 シカゴ Invited Speaker |
| 2013年 | APAO ハイデラバード Invited Speaker アメリカ小児眼科学会 シンガポール Invited Speaker ヨーロッパ眼形成学会 バルセロナ |
| 2014年 | 世界眼科会議 東京 Invited Speaker アジア太平洋眼形成外科学会 デリー アメリカ眼形成学会 シカゴ |
| 2015年 | APAO 広州 Invited Speaker |
| 2016年 | KSAS(Korea Society of Aesthetic Surgery) meeting in Seoul ITEDS(International Thyroid Eye Disease) meeting in London APSOPRS & JSOPRS joint meeting session chair iseminer 甲状腺眼症の手術治療など講演多数。 |
| 2017年 | アメリカ眼科アカデミーinstructor、 韓国眼形成学会invited speaker、 中国眼形成学会invited speaker |
| 2018年 | アジア太平洋国際学会APAO invited speaker |
| 2019年 | アジア太平洋国際学会APAO invited speaker、 ITEDS invited speaker、 OPAIC invited speaker |
| 2021年 | アジア太平洋眼形成学会 invited speaker |
| 2022年 | アジア太平洋国際学会APAO、 ヨーロッパ眼形成学会、 米国眼形成学会 |
| 2023年 | アジア太平洋国際学会APAO、 ヨーロッパ眼形成学会、 米国眼形成学会、タイ眼形成学会、 UCLA解剖実習コース、 ポルトガル解剖実習コース |
外眼部の周術期のケアに
メオアイス
名古屋眼鏡 まぶたやその周囲の手術のあとの”腫れ”や”痛み”を防止する目的で作られた医療用商品です。
責任編集者
超アトラス 眼瞼手術
全日本病院出版 眼科と形成外科のコラボレーションを目指す、意欲的なアトラスが登場! オールカラーの連続写真、詳細なシェーマでわかりやすく解説されています。
責任編集者
ここからスタート! 眼形成手術の基本手技
全日本病院出版 眼形成外科を目指すドクターへの入門書。手術の道具や手技を詳細に解説しています。
当院は、まぶた、眼窩、涙道に特化した眼形成手術の専門施設です。豊富な経験と専門的な知識をもとに、一人ひとりのお悩みに寄り添い、最適な治療をご提案いたします。
他院で修正することが難しいと判断された方でも、今まで来院されたほとんどの方が治療が可能ですので、まずは一度ご相談いただけたらと思います。
オキュロフェイシャルクリニックグループは、
東京、大阪、京都、千葉、新前橋の5つのクリニックを日本全国に展開する、眼形成外科の専門クリニックです。
私たちは、年間1万件以上の眼形成手術実績を持ち、日本全国No.1の治療実績を誇ります。
各クリニックでは、眼形成外科医が手術を担当し、
他の美容外科では得られない高度な技術と専門性を提供しています。
眼瞼下垂、目の下のたるみやクマ取り、ハムラ法、なみだ目治療、バセドウ病眼症、眼球突出、他院修正手術など、眼と目元に関するあらゆる悩みに対応します。
私たちの眼形成外科医は、自然で美しい仕上がりをお約束し、患者様の満足を第一に考えています。
オキュロフェイシャルクリニックグループでは、
最新の技術と豊富な経験を持つ専門医が皆様をお迎えし、安心して治療を受けていただける環境を整えています。
各クリニックは、それぞれの地域で皆様に質の高い医療を提供することを目指し、日々努力しています。
どうぞ、お近くのクリニックにご相談ください。
〒104-0061
東京都中央区銀座1丁目15−4
ヒューリック銀座一丁目昭和通りビル 8階
浅草線「東銀座駅」A8出口徒歩5分
有楽町線「銀座一丁目駅」10番出口徒歩4分
銀座線「京橋駅」2番出口徒歩4分
火曜日、水曜日、木曜日、金曜日、土曜日
8:15〜17:15
[休診日]月曜・日曜・祝日
※当院の診療は完全予約制になります。
〒371-0844
群馬県前橋市古市町180−1
フォレストモール新前橋
大型駐車場 完備(フォレストモール新前橋内)
新前橋駅から徒歩7分
火曜日、水曜日、木曜日、金曜日、土曜日
8:15〜17:15
[休診日]月曜・日曜・祝日
※当院の診療は完全予約制になります。
〒260-0015
千葉県千葉市中央区富士見1丁目1−13
JS Bldg 6階
JR千葉駅から徒歩6分
京成千葉駅から徒歩6分
火曜日、水曜日、木曜日、金曜日、土曜日
8:15〜17:15
[休診日]月曜・日曜・祝日
※当院の診療は完全予約制になります。
〒530-0001
大阪府大阪市北区梅田1丁目12-6
EーMA(イーマ)3階
JR大阪駅より徒歩3分
阪急大阪梅田駅より徒歩6分
火曜日、水曜日、木曜日、金曜日、土曜日
8:15〜17:15
[休診日]月曜・日曜・祝日
※当院の診療は完全予約制になります。
〒600-8031
京都市下京区貞安前之町589
TM四条寺町ビル4階
阪急電鉄京都線「京都河原町駅」 徒歩3分
市営地下鉄烏丸線「四条駅」 徒歩8分
火曜日、水曜日、木曜日、金曜日、土曜日
8:15〜17:15
[休診日]月曜・日曜・祝日
※水曜は12時まで診療
※当院の診療は完全予約制になります。